Science Image Library: Bacterial Stains


Science Image Library
Bacterial Staining (Gram, Acid-fast, Endospore)

from Science Prof Online
ANAT & PHYSGENERAL BIOCELL BIOMICRO 8wkMICRO 15wkINSTRUCTORS


Safranin Step of Gram Stain

1. Acid-fast stain showing AF (hot pink) and NAF (purple) bacteria @1000xTM; 2. Acid-fast stained bacterial smears, with acid-fast control (Mycobacterium) on left, nonacid-fast control on right, and unknown in center; 3. Acid fast stained Mycobacteria smegmatis @ 1000xTM; 4. Applying acid-fast primary stain, carbolfuchsin over water bath; 5. Nonacid-fast bacteria Staphylococcus.

1. Gram-positive stained Staphylococcus @100xTM.
2. Gram negative stained E. coli
3. Crystal violet stain step of Gram staining procedure
4.  Safrinin stain step of Gram staining procedure
5. Gram-stained slide with controls on left and right, and unknown in center.

1. Endospore stain of Bacillus subtilis showing both endospores (green) & vegetative cells (pink)  @1000xTM; 2. Negative endospore stain showing only vegetative cells @1000xTM; 3. Malachite green primary staining step of endopore stain with slide being heated over water bath; 4. Applying counterstain (safrinin) to bacterial smear as last step of endospore stain; Endospore stained slide, with + control Bacillus on left, negative control E. coli on right, and unkown in center.

Acid-fast Stain Photos (Click on photo to enlarge. See more)
Endospore Stain Photos (Click on photo to enlarge. See more)
Gram Stain Photos (Click on photo to enlarge. See more)
Virtual Microbiology
Classroom







You have free access to a large collection of materials used in a college-level introductory microbiology course. The Virtual Microbiology Classroom provides a wide range of free educational resources including PowerPoint Lectures, Study Guides, Review Questions and Practice Test Questions.
Gram stained slide with bacterial controls (knowns) on the outside, Gram+ on left Gram- on right) and unknown bacteria in center.
Simple Stain Photos (Click on photo to enlarge. See more)
1. Bacillus subtilis stained with crystal violet @ 100xTM. Cannot see individual bacteria at this magnification.
2. Bacillus subtilis stained with crystal violet @ 1000x TM.
3. E. coli stained with crystal violet @ 100x TM. Cannot see individual bacteria at this magification.
4. E coli stained with crystal violet @ 1000xTM.
5. Cheek cell and oral bacteria stained with crystal violet @ 1000xTM.
Page last updated: 2/2016

Microbiology Photo Libarary
SCIENCE PHOTOS



Photographic guides to differential stains 
now available!
1. Gram
2. Acid-fast
3. Endopsore

SPO VIRTUAL CLASSROOMS
Differential Bacterial Stain Videos
How to Do a Gram Stain
How to Do an Acid-fast 
(Ziehl-Neelsen)  Bacterial Stain
How to Prepare a Bacterial Smear for Gram Staining
How to Prepare a Bacterial Smear for Acid-fast (Ziehl-Neelsen) Staining
How to Do an 
Endospore Bacterial Stain
How to Prepare a Bacterial Smear for Endospore Staining
Microbiology Lab Videos
SCIENCE VIDEOS
Go to Science Image Library MAIN PAGE
The Microbiology Image Library is the largest photo collection on the SPO site. To help you more easily find what you are looking for, select the "See more" link of the sub-topic below that corresponds to your interests or use the site search boxes.
The SPO Science Image Library is a continuously growing collection of free science photographs. If you use one of our free, low-res images, we just ask that you give us credit and provide a link to the SPO website  (scienceprofonline.com). To save a photo to your computer, right click on it and select "Save". To increase the size of the image, click on it.

For those in need of high-resolution images, we will soon be offering hi-res files of many photos in the Science Image Library. Follow us on Twitter @ScienceProfSPO to get updates on new SPO features and products. If you need a high resolution photo now, please contact us.
Didn't find what you need?

Search SPO for a Photo
Sources and Resources
  • Schauer, Cynthia (2007) Lab Manual to Microbiology for the Health Sciences, Kalamazoo Valley Community College.
  • Bauman, R. (2014) Microbiology with Diseases by Taxonomy 4th ed., Pearson Benjamin Cummings.
  • Gram Stain Bite Sized Tutorial: This is an extremely useful tutorial that shows, step-by-step, the Gram-staining procedure and the appearance of Gram+ and Gram- bacterial cells.

Stained slide with bacterial controls (knowns) on the outside and unknown bacteria in center. Left Gram Stain, center acid fast stain, right endospore stained slide.

Acid-fast Mycobacterium has a waxy cell wall and stains hot pink after ziehl neelsen staining.
The acid-fast genus Mycobacterium has a waxy cell wall and stains hot pink after ziehl neelsen staining.

SPO is a FREE science education website. Donations are key in helping us provide this resource with fewer ads. 
Please help!

(This donation link uses PayPal on a secure connection.)

Endospore stained Bacillus subtilis. The vegetative cells (living cells) stain pink and the endospores blue-green.
Endospore stained Bacillus subtilis. The vegetative cells (living cells) stain pink and the endospores blue-green. 

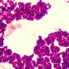
G​ram stained Staphylococcus 
appears purple, indicating a Gram-positive bacteria